Advertisement

68-yr-old man undergoes surgery to remove sex toy stuck in anus

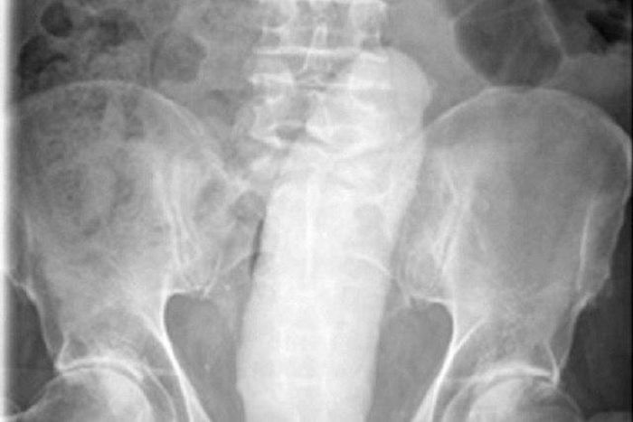
The scanned image of thee dildo in the man's rectum
The scanned image of thee dildo in the man's rectum
A 68-year-old man who was giving himself anal sex with a sex toy had to undergo surgery to remove the dildo after it stuck in his anus.
Advertisement

A 68-year-old man in Dublin, the capital of Ireland, who pleasured himself with a sex toy had to undergo an emergency surgery to remove the item after it got stuck in his anus.

Advertisement

According to the International Journal of Surgery Case Reports, the man was using the dildo for sexual gratification when it slipped and went into his rectum.

The pensioner had to be rushed to the Mater Hospital where doctors spent 10 hours trying to remove the 23cm sex toy.

After the doctors failed to remove the toy, they gave the man a general anaesthetic so they could successfully extract the dildo using forceps.

The report said:

Advertisement

'A 68-year-old man presented to the emergency department with severe lower abdominal discomfort, distension and inability to pass urine, flatus or bowel motions.

He had inserted a phallic object in the rectum ten hours prior to presentation and had been unable to remove same.

Following a manual attempt at removal in the emergency department, a decision was made to remove this under anaesthesia due to worsening symptoms

The phallic object was successfully removed under general anaesthesia using a pair of Magill’s forceps.”'The report said people had previously used bottles, light bulbs, apples, rubber balls, spray containers, vibrators, and other phallic objects such as sex toys.

Advertisement
Latest Videos
Advertisement