Advertisement

5 reasons your breath stinks even after brushing

Bad breath may persist even after brushing [godental]
Bad breath may persist even after brushing [godental]
How do you get rid of bad breath even after brushing your teeth?
Advertisement

The normal way to have fresh breath is to brush your teeth. Brushing gets rid of the bacteria that comes from food particles stuck in your teeth.

Advertisement

If you do not brush your teeth these food particles will release sulfur compounds that affect your breath.

There are times when even brushing your teeth is not enough to help you get rid of bad breath. 

This is because bad breath might be caused by other underlying issues that brushing will not fix.

Some of these issues are;

Advertisement

1. Specific foods

Garlic
Garlic causes bad breath

There are some foods that are synonymous with terrible breath. Bad breath foods are onions and garlic.

It takes a long time for the smell of garlic in your mouth to dissipate, almost a day or more. If you have bad breath eating apples, mint leaves would help neutralize it.

2. Gum disease

Advertisement
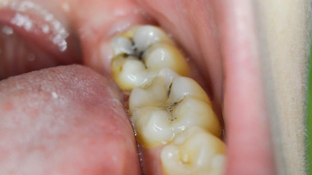
Cavities cause bad breath [healthline]
Cavities cause bad breath [healthline]

Gum disease is caused by a buildup of plaque in your mouth. Plaque is a sticky yellow substance on the teeth. When bacteria builds up in your teeth, your gums get irritated and this leads to bad breath.

3. Cavities

Bacteria can hide under cavities to cause bad breath even after brushing, these cavities hide in crevices where your toothbrush would not reach.

4. Gastroesophageal reflux disease (GERD)

Advertisement

 Gastroesophageal reflux disease or chronic acid reflux causes the undigested contents of your stomach to flow back into your oesophagus. 

5. Smoking and Tobacco

The tobacco in cigarettes causes your breath to dry out and it can also cause gum disease besides the obvious lingering smell of cigarettes.

Other causes of bad breath are tonsil stones which are similar to plaques and having a dry mouth.

Home remedies to cure bad breath after brushing

Advertisement

If your breath still stinks after you brush, do the following;

  • Use dental floss or dental took pick after every meal.
  • Reduce the rate at which you eat foods that can cause bad breath.
  • brushing your teeth twice a day with a fluoride toothpaste.
  • Visit your dentist for a cleaning and checkup.
  • Brush and scrape your tongue.
  • Change your toothbrush after three months.
  • Gargle with mouthwash.
Advertisement