Advertisement
Older brother squeezes knife in sister's back because his meal gets delayed
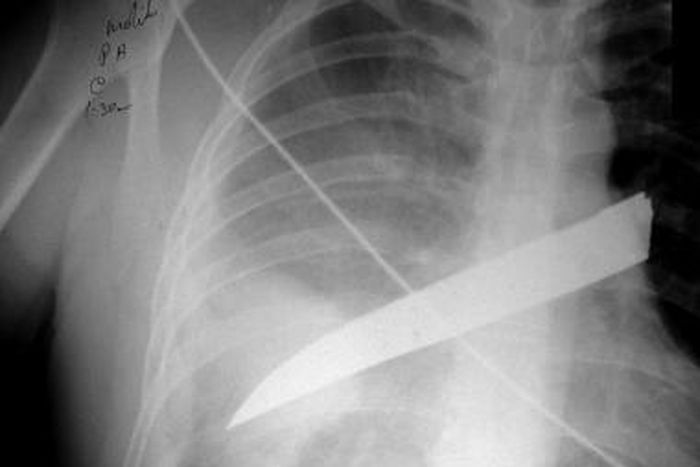
A man is impatient about his meal so he reportedly stabs his sister who was preparing it at the time. -
Experiencing delay before his meal, a 22-year-old man reportedly stabs his younger sister with a knife a year after they both lose their father.
Advertisement
The victim makes it to the hospital with the blade firmly placed in her back. It is an outcome of many acts of violence against the sister who is positioned on a sick bed captured on social media.
Advertisement
In the post, a much older sister Sonia Joy Esego is quoted in an effort to bring attention to her brother's hostile conduct.
He reportedly turns to a vicious after the passing of their father.
Advertisement
Subscribe
Sportal WhatsApp
Latest Videos
Advertisement
Videos
Advertisement
Advertisement
More from Pulse Nigeria
Advertisement