Advertisement

3 home remedies to get rid of gingivitis

3 home remedies to get rid of gingivitis. [pinterest]
3 home remedies to get rid of gingivitis. [pinterest]
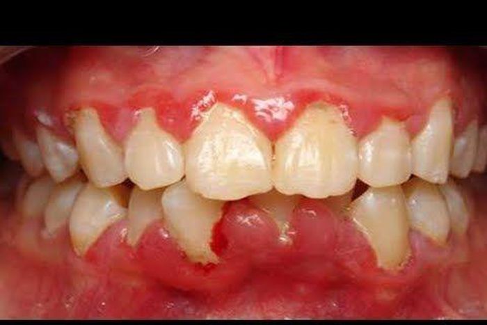
Gingivitis is a very common form of gum disease. In this article, we are going to discuss <strong>how to get rid of gingivitis</strong> with three home remedies.
Advertisement

Gingivitis is an inflammation of the gums. It’s caused by the build-up of plaque in and around your teeth.

Advertisement

This plaque causes your immune system to respond, and it can lead to the death of your gum tissue.

  • Salt

Salt, scientifically called sodium chloride (NaCl) consists of 40% sodium and 60% chloride, by weight. It is one of the recommended kitchen ingredients for treating gingivitis because of its antiseptic and antibacterial properties.

It can help treat swollen and inflamed gums. Plus, it draws infection out of any abscesses and inhibits the growth of bacteria in the mouth.

Advertisement

Add 1/2 teaspoon of salt to a glass of lukewarm water. Use this homemade saline solution to rinse your mouth once each morning and once each evening until the swelling of your gums is reduced.

  • Baking Soda

Baking soda has more health benefits than making our pastries tastes better. It neutralizes the acids in the mouth, thereby reducing the risk of tooth decay and gum disease. Plus, it works as a natural antiseptic to help prevent infections.

Mix 1/4 teaspoon of baking soda with a bit of warm water to make a paste.

Advertisement

Apply this paste to the gums.

Leave it on for 1 or 2 minutes and then rinse it off with warm water.

Use this treatment 2 or 3 times a week.

  • Lemon Juice
Advertisement

Lemons contain antibacterial and anti-inflammatory properties that help treat gum disease. Plus, they contain vitamin C, which can help fight off infection.

Mix the juice of a lemon in a glass of warm water. Use this solution as a mouthwash after brushing your teeth.

Do this twice daily to soothe bleeding and receding gums caused by gingivitis.

Advertisement